醫患之橋
【滿意滕州】醫術精湛品德優 無微不至暖人心—新生兒科連收三面患···
近日,新生兒科接連收到三面早產寶寶家屬送來的錦旗。馬女士、任女士和薛女士的寶寶,胎齡均小于28周(最小的是24周),體重均在1.0Kg以下。入院時,寶寶們病情危重,險象環生。醫護人員日夜守護,經過應用呼吸機支持、肺表面活性物質、臍靜脈及PICC置管等多種搶救措施,寶寶們體重順利增長,各項指標穩定,康復出院。患兒家
發布時間:2022-09-01
查看詳細+
滿意滕州丨我院召開提升群眾看病就醫滿意度調度會
8月29日,我院召開“提升群眾看病就醫滿意度工作”問題整改調度會。院黨委委員、紀委書記趙逢平主持會議。各分管院長,職能部門、臨床醫技科室負責人參加會議。會議針對棗莊市衛生健康委“提升群眾看病就醫滿意度”專班暗訪督導存在的問題進行梳理、分工,舉一反三,立行立改,認真開展自查自糾。對重點難點熱點問題逐一研究
發布時間:2022-08-30
查看詳細+
@足踝外科、腫瘤一科,有感謝信和錦旗請查收
發布時間:2022-08-23
查看詳細+
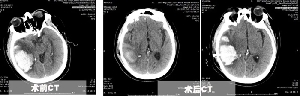
精準微創手術,重癥腦出血患者快速康復
近日,患者王先生將一面錦旗親手送給神經外一科李永濤主任。患者王先生,62歲,體重200余斤,糖尿病、冠心病、腦梗塞病史3年余,長期口服二甲雙胍、阿司匹林、瑞舒伐他汀等藥物,病情控制一般。7月8日,患者突發頭痛頭暈,出現一側肢體偏癱、意識障礙,急診行顱腦CT提示枕頂葉大面積腦出血,血腫量超過50ml,有手術指征。據
發布時間:2022-08-22
查看詳細+
【滿意滕州】我院召開“提升群眾看病就醫滿意度工作”問題整改調···
7月30日,我院召開“提升群眾看病就醫滿意度工作”整改調度會議。強調要提升服務意識,用心用情用力服務群眾,全力以赴提升群眾滿意度。院黨委委員、紀委書記趙逢平主持會議。各分管院長、職能部門負責人、臨床醫技科室主任等參加會議。會議針對滕州市衛生健康局“群眾看病就醫滿意度工作專班”反饋的棗莊市衛生健康委通過“
發布時間:2022-08-01
查看詳細+
【滿意滕州】我院召開“提升群眾看病就醫滿意度工作”問題整改調···
7月21日,我院召開“提升群眾看病就醫滿意度工作”問題整改調度會。院黨委副書記、院長武宗義,各分管院長及相關職能部門負責人參加會議。院黨委委員、紀委書記趙逢平主持會議。會上,院黨委委員、紀檢監察室主任李文通報了滕州市衛健局轉發棗莊市衛健委群眾看病就醫滿意度工作專班[022〕001號文件。紀委副書記、醫患協調辦
發布時間:2022-07-22
查看詳細+

你所在的位置: