醫患之橋
精準微創手術,重癥腦出血患者快速康復
日期:2022-08-22 瀏覽量:1038
近日,患者王先生將一面錦旗親手送給神經外一科李永濤主任。

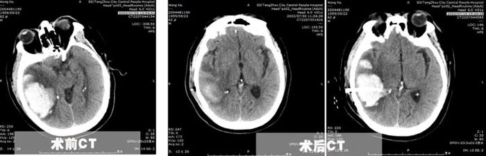
患者王先生,62歲,體重200余斤,糖尿病、冠心病、腦梗塞病史3年余,長期口服二甲雙胍、阿司匹林、瑞舒伐他汀等藥物,病情控制一般。7月8日,患者突發頭痛頭暈,出現一側肢體偏癱、意識障礙,急診行顱腦CT提示枕頂葉大面積腦出血,血腫量超過50ml,有手術指征。
據神經外科腦出血治療規范,手術方法有:開顱顯微鏡下血腫清除術、內鏡下腦出血清除術、顱骨鉆孔引流術等三種。李永濤主任組織全科醫生反復論證,經過慎重考慮,結合患者身體素質差,慢性疾病較多的特點,制定了局麻下顱骨鉆孔引流術的方案。局麻、鉆孔做到了對患者影響的最小化,也避免了開顱術后由于長期服用阿司匹林再出血的風險。
為了在最恰當的手術時機及時完成手術,7月10日,李永濤主任放棄在家休息的時間,帶領陳凡宇主治醫師,在局麻下為患者完成顱骨鉆孔腦出血引流術。術中僅在切口線注入5ml利多卡因,然后顱骨鉆孔形成直徑約1cm骨孔,切開硬腦膜后精準置入直徑約5mm的硅膠引流管于血腫腔,術后復查CT并引流管內注入尿激酶促進血腫引流。經過3天的引流,血腫基本排除,腦壓下降,癥狀改善。同時盡早給予患者床旁肢體功能康復,并積極調整患者血糖、血壓、及心臟功能,給予患者精神鼓勵和心理輔導。患者出院的時候已經能夠獨立行走,生活自理。

患者及家屬對治療效果非常滿意,感激之情溢于言表。出院當天,患者親自步行至護士站,雙手將寫有“醫術精湛、醫德高尚”的錦旗,送到李永濤主任手中。(神經外一科)

你所在的位置: