技術前沿
Technological frontier
近日,我院心血管內科三病區趙宗寒主治醫師在朱宗濤主任指導及導管室技師協作下,利用血管內超聲(IVUS)成功完成1例特殊急診經皮冠狀動脈介入治療術(PCI)。

患者,男,55歲,湖南籍,6天內發生兩次心梗,第1次出現時間為9月28日,患者胸痛、心率慢,就診于外院,行冠狀動脈造影術提示右冠閉塞,予冠狀動脈球囊擴張術+血栓抽吸術+冠狀動脈內溶栓術開通閉塞血管;10月3日,患者再次出現胸痛,復查造影提示右冠再次閉塞,經反復嘗試,未能開通閉塞血管,患者憋喘加重、氧飽和度持續降低,如不能及時開通閉塞血管,隨時有生命危險,夜間帶橈動脈鞘管由120緊急轉入我院。
10月3日晚11時接到急診胸痛急救電話620的電話通知,心血管內科三病區朱宗濤主任、趙宗寒醫師、張世宇醫師迅速趕到醫院,共同討論分析病情、制定治療方案。目前患者一般狀態差,生命體征不穩定,外院反復嘗試導絲不能通過閉塞段的救治經歷,血管存在夾層血腫的可能性較大,手術風險極大、難度很高,經與患者家屬充分溝通后,決定嘗試開通閉塞血管,盡最大努力搶救患者生命。

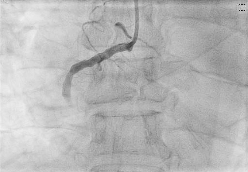
術前
患者進入導管室后,憋喘明顯,血壓、氧飽和度低,需面罩吸氧、大劑量去甲腎上腺素維持血壓。朱宗濤主任建議應使用強支撐指引導管,先用軟導絲輕柔操作,結合血管內超聲(IVUS),嘗試尋找血管真腔。術中選擇6F SAL指引導管行冠狀動脈造影提示右冠中段閉塞,先后嘗試Anyreach、Sion工作導絲未能通過閉塞病變,然后在Finecross微導管輔助下,換用Gaia1硬導絲通過閉塞處成功送至右冠遠端,行血管內超聲(IVUS)檢查顯示血管支架遠段局部夾層、血腫,導絲全程位于血管真腔,在IVUS精確定位下,成功開通血管并植入支架2枚。術后,經CCU醫護人員的精心治療,已于10月10日康復出院。

術后
滕州市中心人民醫院胸痛中心作為本市最大的國家級胸痛中心,負責滕州市及周邊縣區急性心肌梗死的搶救工作。患者經急診綠色通道直接入導管室行冠脈介入治療,胸痛中心值班電話19806321200(小號620)。中心擁有20余人的急診心血管介入團隊,24小時隨時待命,每年完成急診PCI達300多例,平均接診至血管開通時間60分鐘。醫院從院前急救,到急診科、心內科、導管室所有環節無縫銜接,保證以最強的技術力量,最快速反應的醫療團隊,為廣大百姓的心臟健康和安全保駕護航。
(心血管內科三病區)

你所在的位置: