技術前沿
Technological frontier
近日,我院呼吸與危重癥醫學科一病區張強主任團隊順利開展全麻下硬質支氣管鏡聯合電子支氣管鏡下Y型硅酮支架置入術。術中聯合應用電圈套具備腫瘤切除術及球囊擴張術,操作安全、高效。
患者,男,73歲,2年前在我院確診“肺癌”,長期口服靶向抗腫瘤藥物,控制佳。近3個月,患者咳嗽憋喘加重,來我院復查發現對靶向藥物耐藥,患者家屬商議后堅決拒絕化療、放療及免疫治療等。隨著腫瘤的進展,患者憋喘進行性加重,于8月上旬緊急來我院就診,訴求依然是堅決拒絕抗腫瘤治療,希望能臨時緩解下憋喘癥狀。
入院后給予吸氧、藥物治療,癥狀緩解不明顯。張強主任結合患者的癥狀、體征及CT表現,考慮憋喘主要為腫瘤浸潤壓迫氣道引起,緊急行電子氣管鏡檢查,明確了氣道被壓迫情況。正常成人氣管內鏡約2.5cm,患者氣管下段重度狹窄,直徑僅約3mm,而且狹窄一直延續到右主支氣管末端,左主支氣管狹窄情況還稍輕些。建議患者可緊急置入支氣管支架短期緩解癥狀,綜合支架特點、支架定制周期、患者病情、費用等情況后,家屬希望能為患者盡快放置硅酮支架。張強主任立即聯系醫務科,并聯系支架置入經驗豐富的外請專家王曉東教授前來指導,為患者保駕護航。

為制定最優方案,保證安全,8月15日晚11時30分,張強主任團隊依然忙碌地做著周密的術前準備。8月16日一早, 一切準備就緒,在手術室、疼痛科及內鏡室支持下,在外請專家王曉東教授的保駕護航下,張強主任團隊為患者進行全麻下硬質支氣管鏡聯合電子支氣管鏡下Y型硅酮支架置入術。同時,為保證支架的置入及釋放順利,應用高頻電圈套局部切除了支氣管腔內腫瘤,并施行了球囊擴張。手術過程順利,支架放置位置及釋放非常好。

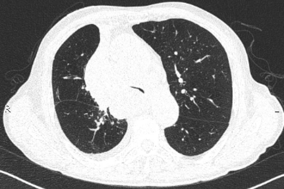
支架放置前:CT提示近圓形的氣管被壓迫至“一條縫”
支架放置后,患者憋喘癥狀明顯緩解,手術完當天就睡了個好覺。患者家屬對治療效果非常滿意,給予張強主任團隊高度贊揚!
(于 雪)

你所在的位置: