技術前沿
Technological frontier
3cm魚刺深扎食管1周,內鏡剝離巧取出!
日期:2024-01-04 瀏覽量:2103
近日,我院李曙暉主任醫師在內鏡中心護理、麻醉團隊密切配合下,通過內鏡下食管黏膜剝離術,成功為一輾轉3家醫院食管異物1周的患者取出3cm魚刺。

取出的長3cm多的魚刺
12月18日,患者陳某在進食魚后出現咽部異物感,伴有吞咽痛,19日在當地醫院行胸部CT示食管異物待排,胃鏡示創傷性食管炎,食管內未見明顯異物。3天后,患者咽部異物感等癥狀無緩解,于我市另一醫院復查胸部CT示食管上段異物,再次行胃鏡檢查示食管黏膜損傷,未見異物。胸外科會診認為如果外科手術,創傷大,建議患者首選內鏡下微創手術。因此,患者慕名前來我院就診,收住消化內科一病區。
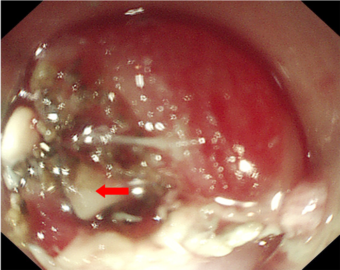
為了解魚刺與周圍的關系及是否刺入血管,患者入院后給予完善胸部強化CT,示胸上段管腔內高密度影,考慮食管異物。李曙暉主任醫師結合患者病史、2次胃鏡結果及胸部CT等,分析認為魚刺已深深扎入食管壁內,可行食管黏膜剝離術暴露出異物后再行取出。12月28日,李曙暉主任醫師在麻醉和護理團隊的配合下行胃鏡檢查,內鏡下距門齒18cm可見食管黏膜充血水腫,未見異物,遂用黏膜切開刀切開周圍黏膜及肌層,暴露出異物頂端,再用鱷口鉗鉗住魚刺頂端,順利取出一枚長3cm多的魚刺,看到大部分魚刺扎入食管壁。術后對癥治療后,患者現已痊愈出院。

CT紅色箭頭所示異物

食管黏膜及肌層剝離后看到露出的魚刺
李曙暉主任醫師提醒,食管異物可發生在任何年齡段,而且異物種類多樣,以魚刺、肉骨最為常見。一旦發生異物卡喉或消化道異物,用醋、團飯、菜葉等吞咽均不可取,這些做法最大的可能是將魚刺越壓越緊、扎得更深,如果是比較大的刺還有可能刺破食管或血管,危害更大。正確的處理是立即停止進食,及時就醫,不能抱有僥幸心理。(朱曙光)

你所在的位置: