技術前沿
Technological frontier
我院耳鼻咽喉科成功實施一復雜罕見巨大頸部神經纖維瘤手術
日期:2023-12-20 瀏覽量:2146
近日,我院耳鼻咽喉科成功實施一復雜罕見巨大頸部神經纖維瘤手術,解除了患者的痛苦,填補了我院在本領域的空白。
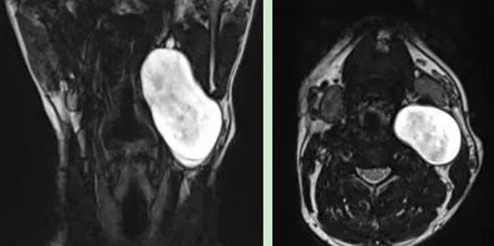
患者,男,26歲,2年前發現頸部左側腫物,逐漸增大,來我院就診。彩超示:左側頸部探及約5.0×4.3cm低回聲團塊;頸部MRI示:左側頸部囊性占位,考慮良性病灶,大小約3.5×5.1×7.2cm。

患者年紀輕,病情復雜,經充分準備后,在牛善利主任指導下,牛傳貴副主任醫師、步明強副主任在全麻下實施頸部腫物切除術。術中見腫物位于頸動脈鞘內,將頸內靜脈及迷走神經擠向外側,將頸內、外動脈擠向內側,腫物下緣至環狀軟骨水平,上緣至二腹肌后腹深面向上近顱底處。此次手術難度大,手術操作復雜,手術風險大,技術要求高,在手術室李蘊護士長、張建永護士長、楊凌主管護師及麻醉科鄧燕副主任醫師密切合作下,手術順利完成。病理參考免疫組化報告神經纖維瘤。術后患者恢復良好,已出院。(耳鼻咽喉科)

你所在的位置: