技術前沿
Technological frontier
臨床核醫學是利用放射性核素示蹤原理和輻射生物效應進行疾病診斷和治療的新興學科,其應用充分體現了現代醫學精準診療的發展趨勢。核醫學在疾病的早期 “定位”“定性”“定量”“定期”診斷和對特定疾病的靶向治療上具有獨特且不可替代的作用。我院核醫學科精選部分病例進行分享,以期總結臨床經驗,拓寬診療思路,提高對疑難病例的診療水平。
病例
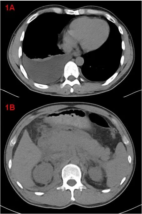
中年男性,體檢發現“雙腎積水”來診,余無明顯不適。CT示雙側胸腔積液、右肺膨脹不全(圖1A);胰腺腫大、胰周滲出,腹腔少量積液、腹膜、網膜增厚,腹膜后軟組織增厚(圖1B);考慮自身免疫性胰腺炎?腹膜后纖維化?

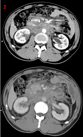
增強CT示腹膜后局部腹主動脈及其分支近端周圍餅狀軟組織腫塊(圖2),考慮腹膜后纖維化。建議完善IgG4相關檢查。

診療經過
完善體液免疫、C反應蛋白、抗核抗體16項、類風濕因子、腫瘤標志物篩選檢查、免疫球蛋白(IgG4)檢查,完善胸水化驗、腫瘤細胞篩選、乳酸脫氫酶檢查、抗酸桿菌檢查等,均未見明顯異常。
完善PET/CT檢查,示頸胸腹盆多處淋巴結或軟組織、右側腎上腺、腹膜(圖3),以及全身多處骨骼/骨髓(圖4)異常代謝,考慮淋巴瘤,建議病理檢查。


參考PET/CT結果,對代謝最高的右腹股溝區淋巴結進行了活檢,并完善了骨髓穿刺活檢病理檢查,最終證實為濾泡性淋巴瘤侵犯骨髓。
病例相關知識
濾泡性淋巴瘤是常見的非霍奇金淋巴瘤,其診斷往往比較困難。《2020濾泡性淋巴瘤患者生存報告白皮書》中顯示,濾泡性淋巴瘤平均確診時間大約在2個月。無法及時得到確診的患者中,86.67%的患者曾被懷疑為其他非淋巴瘤疾病。33%未及時確診的患者在危險分層中處于高危。
IgG4 相關性疾病(IgG4-RD)是一種免疫介導的纖維炎性疾病,可累及多個器官。IgG4-RD是2018年國家衛生健康委等聯合印發的我國《第一批罕見病目錄》中的第56號罕見病。該病臨床診斷非常困難,一是IgG4-RD導致的器官和組織硬化與腫瘤相似,難以辨別;二是該病可累及幾乎人體的所有器官組織,臨床癥狀復雜交錯。很多患者由于得不到正確診斷,不僅得不到正確的治療,還容易接受不必要的重大手術,十分影響生活質量。
IgG4-RD與淋巴瘤的發生關系密切,有研究表明淋巴瘤可以發生在IgG4-RD之前或之后。但至今為止的研究缺乏 IgG4 相關性疾病引起淋巴瘤的直接證據。
診斷思路
本例患者雙腎積水,且CT顯示腹膜后病變壓迫輸尿管,以及胰腺形態腫大,臨床初步診斷考慮符合IgG4-RD;但進一步血IgG4檢查陰性的結果讓初步診斷存在疑點。為進一步明確診斷,行全身PET/CT檢查。
PET/CT顯示除腹膜后病變外,頸胸腹盆部存在多發高代謝淋巴結,以及多處骨骼/骨髓代謝異常,同時胰腺并未表現出異常高代謝,最后綜合考慮為淋巴瘤,并得到病理證實。
本案例充分體現了PET/CT的優勢,一是全身顯像,在圖像上“一目了然”地了解全身所有臟器組織的葡萄糖代謝情況,為診斷提供新的思路;二是代謝顯像,直接反映了組織器官的功能狀態,為診斷提供了份量極重的砝碼;尤其在淋巴瘤的診斷中,代謝程度最高的病灶意味著活躍程度最高,對其活檢結果最準確、可靠。
Tips
淋巴瘤患者如何選擇合適的檢查時機?
根據《2021 CSCO淋巴瘤18F-FDG PET/CT指南》專家意見:
1.初始評估:推薦時間——治療前。
2.中期評估:推薦時間——霍奇金淋巴瘤化療后2周期或非霍奇金淋巴瘤化療后4周期后,在下一次化療前的1-2天。
3.治療后評估:推薦時間——化療后6-8周或放療后8-12周,以最大限度減少治療炎性反應。
(張峻圍 關祥禎)

你所在的位置: