技術前沿
Technological frontier
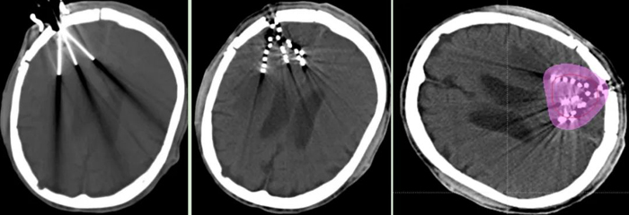
近日,我院腫瘤一科成功為一名腦膠質母細胞瘤術后放療后復發患者,實施“CT引導腦部腫瘤125I放射性粒子植入術”。
患者,男,59歲,因“頭痛2個月”,MRI發現左頂葉占位,2023年3月在外院行手術治療,術后病理為“膠質母細胞瘤”,術后配合放療及替莫唑胺治療。因“右側肢體無力伴不自主抖動2天”,于11月20日就診我院,顱腦強化MRI提示左側顳頂葉異常強化灶,診斷為“腦膠質母細胞瘤術后放化療后復發”。

經腫瘤科、神經外科、影像科等科室多學科討論,認為患者無再次手術及放療指征,決定行“CT引導125I放射性粒子植入術”。經周密術前準備,在神經外科吳超副主任醫師協作下,張開賢主任帶領粒子治療團隊歷經2個小時,在CT精準引導下,成功完成了125I放射性粒子植入術,現恢復良好。術后劑量驗證,達到術前計劃要求。

膠質母細胞瘤是顱內惡性程度最高的惡性腫瘤之一,大部分屬于浸潤性生長,容易侵襲周邊腦組織,生長速度較快,與正常腦組織分界不清,使得手術無法完整切除,術后極易復發,生存時間較短,因此,膠質母細胞瘤通常難以治愈。
125I放射性粒子植入術屬于近距離放療的范疇,是在影像學引導下,精準地將125I粒子植入在腫瘤病灶內,通過125I持續釋放低能量的γ射線,達到殺傷腫瘤細胞,控制腫瘤生長的目的。由于125I粒子釋放的γ射線能量小,射程短,劑量跌落快,因此,腫瘤病灶內照射劑量很高(可達到外照射的2-3倍),而周圍正常組織劑量低,從而達到最大程度殺傷腫瘤細胞,而周圍正常組織不受損傷或輕微損傷的目的。目前已廣泛應用于各部位腫瘤的治療,為惡性腫瘤的治療增加了一種新手段。
我院腫瘤一科2004年在國內較早開展了放射性粒子植入術,積累了豐富經驗,已經成為科室的特色及優勢技術。由于顱內血管密集,腦瘤粒子植入操作復雜,技術難度較大,目前國內僅有少數醫院能夠開展腦瘤粒子植入術,標志著我院腫瘤微創治療水平邁上了一個新臺階。(腫瘤一科)

你所在的位置: