技術前沿
Technological frontier
臨床核醫學是利用放射性核素示蹤原理和輻射生物效應進行疾病診斷和治療的新興學科,其應用充分體現了現代醫學精準診療的發展趨勢。核醫學在疾病的早期 “定位”“定性”“定量”“定期”診斷和對特定疾病的靶向治療上具有獨特且不可替代的作用。我院核醫學科精選部分病例進行分享,以期總結臨床經驗,拓寬診療思路,提高對疑難病例的診療水平。
病例??
中年女性,查體發現縱隔區陰影。患者無明顯不適癥狀,無其他病史。
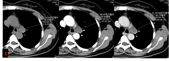
胸部強化CT?

主動脈弓左旁不規則混雜密度腫塊影,增強未見明顯強化,考慮腫大淋巴結,轉移灶?(圖1)
為進一步明確病情,完善PET/CT檢查。
PET/CT?

主動脈弓左旁不規則混雜密度腫塊影,邊緣見斑點狀/環形鈣化灶,FDG代謝不高(SUVmax約0.3-1),考慮良性病變(圖2)。
手術及病理結果?
患者后于上級醫院行手術治療,術后病理示縱隔支氣管囊腫。
病例相關知識?
支氣管囊腫,亦稱先天性支氣管囊腫、支氣管源性囊腫,是胚胎時期氣管、支氣管樹或肺芽發育異常所致的先天性良性病變。因發育階段不同,病變可發生在不同部位,分為縱隔型、肺內型及異位型。發病率低,多見于中青年,男性較多。大多數患者自幼年起病,囊腫較小時多無癥狀,囊腫較大時壓迫周圍組織,若與氣道相通,常繼發感染導致相應癥狀,如咳嗽咳痰、胸悶、胸痛,少見癥狀如咳血、吞咽不適,位于腹部者可導致腹痛等。也可惡變形成支氣管腺癌,肺內型易伴感染。如伴有反復感染或病灶較大壓迫周圍組織者,建議手術切除。
縱隔型支氣管囊腫誤診率較高,常誤診為胸腺瘤、胸腺囊腫、神經源性腫瘤、心包囊腫、食管囊腫等縱隔常見病變。
CT、MRI對支氣管源性囊腫定位非常清楚,對典型病變的定性診斷也比較容易,但對于不典型病變定性診斷存在困難,尤其容易誤診為轉移性淋巴結。
PET/CT能夠從代謝的角度提供更有價值的診斷信息,支氣管源性囊腫往往呈低代謝或代謝缺損表現;同時PET/CT是全身檢查,對于臨床高度懷疑惡性腫瘤的患者能夠提供更全面的信息,提高診斷準確度。
診斷思路?
本例患者由于增強CT表現不典型,臨床為排除惡性腫瘤轉移選擇PET/CT進一步明確診斷。PET/CT展示病灶無代謝,給出了良性病變的定性診斷,最終得到病理證實。
TIPS?
1.PET/CT代謝高低反映的是細胞的活躍程度;病灶表現為低代謝或無代謝的情況下,診斷為良性病變的準確性非常高。
2.對于初診不明而又懷疑惡性腫瘤的情況,選擇PET/CT檢查是一種標準化的路徑,能夠縮短診斷周期,有效避免很多彎路;PET/CT全身成像,能夠優化腫瘤分期,從而指導制定及時有效的治療策略,節約寶貴的治療時間和費用。(錢?紅?關祥禎)
?

你所在的位置: