技術前沿
Technological frontier
臨床核醫學是利用放射性核素示蹤原理和輻射生物效應進行疾病診斷和治療的新興學科,其應用充分體現了現代醫學精準診療的發展趨勢。核醫學在疾病的早期 “定位”“定性”“定量”“定期”診斷和對特定疾病的靶向治療上具有獨特且不可替代的作用。我院核醫學科精選部分病例進行分享,以期總結臨床經驗,拓寬診療思路,提高對疑難病例的診療水平。
病 例?
老年女性,主訴“發現頸部腫物1月”入院。患者1月前無明顯誘因發現頸部腫物,約雞蛋大小,可隨吞咽上下移動,有聲音嘶啞、飲水嗆咳,睡眠時有憋喘,無疼痛,無心慌、多汗等不適。
彩超:甲狀腺右側葉低回聲結節,TI-RADS 4B級;甲狀腺雙側葉多發囊實性結節TI-RADS 3級。
查體:左側甲狀腺觸及一3.0cm×3.0cm腫物,質韌,界清,隨吞咽動作上下移動。
實驗室檢查:甲狀腺功能正常,血鈣:3.55mmol/L(正常參考值2.03-2.7),血磷:0.71 mmol/L(正常參考值0.8-1.6),堿性磷酸酶177U/L(正常參考值30-150),甲狀旁腺激素(PTH):587.500pg/ml(正常參考值15-65)。
臨床診斷:1.甲狀腺腫物2.甲狀旁腺功能亢進3.高鈣血癥。既往史無特殊。為進一步明確病情,完善ECT甲狀旁腺顯像。
ECT甲狀旁腺顯像所見:

靜脈注射99mTc-MIBI后,分別于20min及2h行頸部及上胸部前位靜態平面顯像示:早期像甲狀腺右葉放射性分布欠均勻,左葉形態失常,中上部可見類圓形結節灶,邊緣放射性濃聚,中心放射性減低。延遲顯像甲狀腺左葉中上部仍可見放射性濃聚灶,余雙葉甲狀腺放射性減淡。
ECT檢查結論:甲狀腺左葉中上部99mTc-MIBI高攝取灶,結合PTH升高,考慮功能亢進的甲狀旁腺,請結合病理。
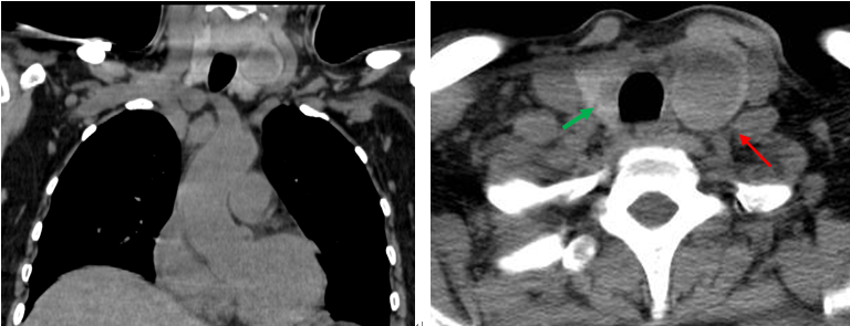
患者同期甲狀腺CT平掃檢查所見:

甲狀腺形態增大,雙葉見類圓形低密度影,大小分別為2.4×2.9cm(左,紅箭),0.7×1.1cm(右,綠箭)。
手術及病理結果:患者于本院行全麻下雙側甲狀腺全切+左側甲狀旁腺腺瘤切除術+中央區淋巴結清掃術,術中探查甲狀腺左側葉見腫大的甲狀旁腺與其緊密相連。術后病理:甲狀腺左側葉結節狀增生;甲狀旁腺腺瘤伴壞死囊變;甲狀腺右側葉甲狀腺乳頭狀癌,兩灶。
術后第二天復查PTH:7.670 pg/ml(正常參考值15-65);術后第四天復查血鈣:2.12mmol/L(正常參考值2.03-2.7),血磷:1.14 mmol/L(正常參考值0.8-1.6),堿性磷酸酶138U/L(正常參考值30-150)。
病例相關知識:
甲狀旁腺功能亢進癥(hyperparathyroidism,HPT)是體內甲狀旁腺激素(PTH)分泌過多,導致患者體內鈣、磷代謝異常的一種疾病。可分為原發性HPT、繼發性HPT和三發性HPT。
原發性HPT是由于甲狀旁腺本身病變引起PTH分泌過多,通過對骨和腎起作用,導致高鈣血癥和(或)低磷血癥、腎結石、以皮質骨為主骨吸收增加等臨床癥候群,發病高峰為60歲左右,女性多見。原發性HPT約80%由單發甲狀旁腺腺瘤引起,約20%由甲狀旁腺增生或多發甲狀旁腺腺瘤引起,不到1%由甲狀旁腺腺癌引起。
繼發性HPT是由于甲狀旁腺以外各種原因導致的低鈣血癥刺激甲狀旁腺增生分泌過多PTH所致,可見于慢性腎病、骨軟化癥、維生素D缺乏與羥化障礙等多種疾病。三發性HPT是在繼發性HPT基礎上,由于腺體受到持久刺激,發展為功能自主的甲狀旁腺增生或腫瘤,自主分泌過多PTH所致,常見于慢性腎病和腎臟移植后,臨床少見。
HPT的診斷主要依據臨床表現和實驗室檢查,一些原發性HPT患者由于疾病早期臨床癥狀不明顯易被忽視,而得到早期診斷的患者多是在健康查體中發現了PTH、血鈣、血磷異常。
原發性HPT首選手術治療,最經濟、有效,絕大部分可治愈,繼發性HPT早期可通過去除病因、保守治療,但部分發展到重度繼發性HPT或三發性HPT也需手術治療。但由于甲狀旁腺位于甲狀腺雙葉上下極背側,體積較小,位置又可異位在縱隔內、氣管和食管間等,常見的超聲、CT等解剖影像檢查技術往往很難定性或定位病變,術前準確診斷和定位病灶是手術成敗的關鍵。
ECT甲狀旁腺顯像:
ECT甲狀旁腺顯像能夠幫助診斷甲狀旁腺功能亢進并定位異常甲狀旁腺腺體,特別是能提高異位甲狀旁腺的發現率,在甲狀旁腺亢進癥的診療過程中具有獨特優勢。甲狀旁腺顯像常用的方法包括99mTc-MIBI/99mTcO4-顯像減影法、99mTc-MIBI雙時相法。

上圖為胸骨上窩異位甲狀旁腺腺瘤(案例來自網絡)。
本例患者懷疑“甲狀腺癌”,擬行手術治療,術前檢查發現血PTH升高,鈣磷代謝異常,臨床提示患者同時存在甲狀旁腺功能亢進,術前定位功能亢進的甲狀旁腺腺體,能有效減少術中探查對患者帶來的創傷,縮短手術時間。在本例99mTc-MIBI雙時相顯像中,我們觀察到甲狀腺左葉中上部有一個異常放射性不均勻濃聚灶,提示為功能亢進的甲狀旁腺,與患者同期甲狀腺CT檢查示囊實性結節吻合,術后病理證實為左側甲狀旁腺腺瘤,甲狀腺右側葉結節為甲狀腺乳頭狀癌。(錢紅?關祥禎)

你所在的位置: