技術前沿
Technological frontier
臨床核醫學是利用放射性核素示蹤原理和輻射生物效應進行疾病診斷和治療的新興學科,其應用充分體現了現代醫學精準診療的發展趨勢。核醫學在疾病的早期 “定位”“定性”“定量”“定期”診斷,和對特定疾病的靶向治療上具有獨特且不可替代的作用。我院核醫學科精選部分病例進行分享,以期總結臨床經驗,拓寬診療思路,提高對疑難病例的診療水平。
病例
???老年女性,主訴“反復多關節疼痛10余年,皮疹5月”入院。患者6年前診斷為“系統性紅斑狼瘡,狼瘡腎炎”。5個月前出現全身皮疹,伴有瘙癢,曾考慮為“濕疹”。3個月前皮疹加重,于我院皮膚科完善皮膚鏡檢查,考慮為“銀屑病”。近20天皮疹進一步加重,雙手、雙足明顯,雙足部分皮疹出現破潰、流液,瘙癢、疼痛明顯,伴有干咳。10天前出現腰痛,活動后明顯。補充查體:左側胸鎖關節腫脹,壓痛。為進一步明確病情,完善ECT全身骨顯像。

ECT全身骨顯像所見(圖1):
ECT檢查結論:雙側第1前肋、T10、右側第10肋椎關節、腰骶椎(L5為著)代謝異常增強,符合SAPHO綜合征影像學表現。

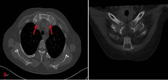
患者同期胸部CT檢查所見(圖2箭):雙側第1前肋對稱性肥厚、膨大、骨質硬化,未見明顯軟組織腫塊。
病例相關知識??
SAPHO綜合征在臨床上屬于罕見病范疇(罕見病數據庫Orphanet編號793),是以皮膚和骨關節受累為特征的慢性無菌性炎癥。1987年,Chamot等首次提出將Synovitis(滑膜炎)、 Acne(痤瘡)、 Pustulosis(膿皰病)、 Hyperostosis(骨肥厚)、Osteomyelitis(骨髓炎)等五種病變首字母的縮寫作為疾病名稱。
SAPHO綜合征的發病機制尚不明確,目前認為其屬于自身炎癥綜合征范疇,涉及免疫系統的紊亂。SAPHO綜合征患病男女比例大概是1:2,女性好發,平均在36歲左右出現癥狀,平均診斷需要3.6年。SAPHO綜合征的臨床癥狀,主要包括骨痛和皮疹。主要表現為前胸疼痛,容易誤診為肋軟骨炎等,通常這種疼痛起病比較隱匿或突然加重,位置比較彌漫、不固定。除了前胸壁疼痛,患者還會出現頸椎、胸椎、腰椎的疼痛,容易誤診為強直性脊柱炎。在協和醫院發起的一項隊列研究中,超過90%的患者都有皮膚表現,主要是掌跖膿皰病。
SAPHO綜合征的臨床診斷是一個巨大挑戰,其臨床表現多樣,需要與類風濕關節炎、強直性脊柱炎、硬化性骨髓炎、彌漫性特發性骨肥厚、關節性銀屑病、佩吉特病、Sweet 綜合征等鑒別。確診往往經歷數年,而錯過及時的治療。2012年NGUYEN等在Semin Arthritis Rheum中突出了影像學的作用,只要發現骨肥厚,特征性的表現在前上胸壁、肢端骨及脊柱就可以診斷,可以伴或不伴皮膚損害。由此可見,影像學表現對本病的診斷尤為重要。
如果臨床上懷疑SAPHO綜合征,最需要做的檢查是ECT全身骨掃描。ECT可特征性表現為前上胸壁異常放射性濃聚灶,典型的圖像為“牛頭征”(圖1箭)。早期診斷、及時治療能夠避免患者并發癥的發生。同時,ECT能夠展示全身骨骼受累的情況,準確評估疾病范圍及疾病的活動程度。對于治療期間的患者,ECT隨訪可以評估患者對藥物治療的敏感性,并監測疾病進展。(核醫學科)

你所在的位置: