技術前沿
Technological frontier
近日,代表當前CT最高水平的西門子SOMATOM Force開源CT在滕州市中心人民醫院正式啟用。Force CT采用全球獨創的雙球管、雙探測器結構,臨床應用領域廣泛,在全身各部位的無創成像方面開創了高端CT應用的新紀元,尤其在冠心病冠脈成像方面有無可比擬的優勢,其操作便捷、安全無創和綠色環保引領著業內的標桿和典范,被稱為“窺心神器”。
Force CT以超低的輻射、精準的診斷,開創了CT安全篩查的新時代。
一、設備的先進性
SOMATOM Force是全新的第三代雙源CT,革新了球管、高壓發生器、探測器、數據采集系統、重建系統等一系列影像鏈,定義了一個無與倫比的 CT 性能等級,開辟了全新的CT影像時代,可以做到更快、更寬、更能、更低。

(1) 快
Force CT轉速可達0.25s/圈,雙套球管及探測器交叉90度設計,相當于單源CT 0.125秒每圈,心臟成像時間分辨率66ms,真正跨越自由心跳門檻100ms,因此可以做到自由心率的心臟冠脈CTA等檢查。
西門子獨創的Turbo Flash模式,掃描速度達每秒73.7cm/s,可在1秒內完成胸腹大血管、頭頸心一站式篩查,對胸痛三聯征、心腦聯合成像、頭胸心腹部及全程主動脈等多部位一站式聯合掃描等檢查都能很好的完成。

(2) 寬
Force CT突破了探測器的限制,實現業內最寬的80cm大范圍、5倍于寬體CT探測器覆蓋范圍,真正實現全臟器灌注,同時具備低70KV灌注成像技術,可以做到全器管灌注的輻射劑量只相當于一次CT平掃。
而其他廠商生產的寬體CT的最寬覆蓋范圍只有16cm,全身除心臟之外器官都超過16cm,因此16cm不夠寬,同時寬體探測器固有的弊端——“錐形束”偽影一直沒有得到有效解決。

△70 kV胰腺神經內分泌腫瘤灌注
(3) 能
CT發展方向為宏觀的組織形態學診斷到微觀組織成分分析,因此雙能量成像也是各個廠家研發CT的方向之一,西門子獨創采用雙源雙能量成像技術,同時具備4檔電壓組合:70/Sn150、80/Sn150、90/Sn150、100/Sn150可根據掃描部位更合理選擇電壓組合,因此可以做到更精準,更綠色,是業內唯一可用于兒童的雙能量成像。

△高低能譜0重疊,精準分辨和量化物質成分

△雙能量增強掃描可一次性獲得常規增強圖像、碘圖、及VNC
(4) 低
ForceCT有多項低劑量成像技術:能譜純化SPS II技術、低70KV和ADMIRE迭代技術。
能譜純化SPS II技術為西門子獨創的低劑量成像技術,可提供Sn100kV、Sn150KV電壓;Sn150KV用于雙能量成像,可大幅降低雙能量成像輻射劑量常規開展;Sn100用于肺篩查,可做到0.06mSv,不到一張胸片劑量,同時肺結節檢測敏感度達到94%。
西門子的低70KV成像可廣泛應用:70KV全身成像、70KV灌注、70KV雙能量成像;GE的Revolution的70KV只能應用于兒童檢查。
Admire迭代集成在最新一代全息光子探測器中,是首次實現了硬件、原始數據域、圖像域的三域迭代技術。

△無鎮靜自由呼吸嬰兒(1天)主動脈縮窄,70KV,CM: 7 mL
(二)臨床應用的突破
由于SOMATOM Force影像鏈的全面革新,帶來了八大臨床超越和突破:
安全篩查成像
1.突破腎衰患者增強CT禁忌,實現常規<20ml對比劑量的使用
常規70kV全身CTA成像,低電壓掃描帶來輻射劑量的大幅降低(20毫升),同時可以實現造影劑總量、注射速率的同時減少;Vectron球管優異的功率儲備能力允許在低電壓掃描下保持理想的 CNR,常規適用于成人和肥胖患者。因此可以預防對比劑誘發的腎毒性,使得大量傳統檢查禁忌證的腎功能不全病患實現常規CT診療。會造福于數百萬人。

△Force低至12ml的對比劑用量,用于腎功極差患者的檢查,讓不可能成為可能
2.冠心病和腫瘤早期檢測,胸片劑量的CT掃描,徹底實現心肺疾病CT篩檢的常規臨床化。只需要一次胸片檢查的輻射劑量,即可完成高分辨率的肺部成像和冠脈成像;在極低的輻射劑量下同時可以保持優秀的對比信噪比(CNR),與傳統 CT 相比輻射劑量減少達90%。配合Stellar Infinity 全息光子探測器優異的低對比探測能力,使 SOMATOM Force成為隱匿性病變早期檢測的理想設備。為無癥狀高危患者的檢查設定了一個新的檢查標準。這無疑將改寫CT掃描的歷史。

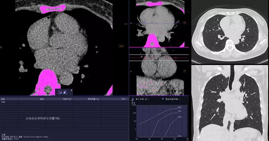
△KV純譜技術高端體檢一站式體檢——鈣化積分+肺一站式檢查
自由無限成像
3.無需屏氣的肺部、腹部掃描:
73.7cm/s的Turbo Flash模式,0.4秒完成全肺、0.6秒完成全腹,從此呼吸指令不再需要。
4.擺脫心電門控的心臟掃描:
SOMATOMForce實現了前所未有的0.25秒/圈的轉速,0.066秒的心臟成像快門時間,憑借史上最快的737mm/s掃描速度,全面突破血流、呼吸、心跳的束縛,全面“凍結”人體生理運動,甚至可以擺脫心電門控的束縛,實現自由無“線”心臟CT掃描。

△66ms單扇區時間分辨率,任意心率、節律高清成像
5.1秒一站式多血管同時掃描:
SOMATOMForce 開源CT的73.7厘米/秒的業內最快掃描速度,已突破血流方向相反的成像難題,使得CTA聯合掃描在血管成像領域應用研究將更加深入,未來低輻射和低對比劑量一站式多部位多血管CTA(頭頸冠脈成像、胸痛三聯征、心臟+腹部血管+下肢血管成像)將成為指導心臟和外周血管性疾病介入診療的重要工具。

5D功能成像
6.低劑量全臟器灌注和動態血流成像:
超大范圍80厘米功能成像,只需要一次平掃的輻射劑量,既可完成一站式全器官灌注掃描(神經、體部、心肌)和動態血流評估,更安全而全面的獲取形態學和功能學信息。

△肝臟5D灌注,本底輻射劑量,取代傳統多期相掃描
跨界融合成像
突破全影像界限,解決其它影像手段禁忌,實現精準融合成像
7. 類PET 成像:
傳統PET成像存在輻射劑量過高、放射污染、價格昂貴等局限性。
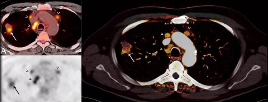
SOMATOMForce的純譜雙能量成像技術具有更好的靈敏度和特異性,使CT雙能量的應用上升到一個前所未有的水平,應用范圍更廣泛,不但可以常規對腫瘤組織類型、心血管疾病進行更為精確的識別,更是突破影像界限,首次實現碘、鈣、水、脂肪、鐵等多物質多元素多參數量化成像,能夠精準評估骨髓挫傷水腫、腫瘤浸潤活性。

△提高診斷準確性-肺結節能量碘圖
8. 類DSA成像:
傳統DSA成像有創而且操作復雜、掃描范圍受限。
SOMATOM Force 突破技術界限,將血流評估覆蓋范圍擴大至80cm,特別適合大范圍下肢血管疾病診斷,一次掃描一次注射即可無創精確判斷病變,更加精確地制定臨床決策,選擇合理的治療方法。


△80厘米無創CT DSA,影像決策診療
伯樂能識馬,物方盡其用。此次超高端CT的引進,再為我院增添一件“神兵利器”,相信在我院眾多專家的微調試、再開發和廣應用下,這臺Force CT必將發揮其最高性能,助力我院臨床和科研能力的進一步提升,更好地服務患者。(關祥貞)

你所在的位置: