健康科普
臨床核醫學是利用放射性核素示蹤原理和輻射生物效應進行疾病診斷和治療的新興學科,其應用充分體現了現代醫學精準診療的發展趨勢。核醫學在疾病的早期“定位”“定性”“定量”“定期”診斷,以及對特定疾病的靶向治療上具有獨特且不可替代的作用。我院核醫學科精選部分病例進行分享,以期總結臨床經驗,拓寬診療思路,提高對疑難病例的診療水平。
病例
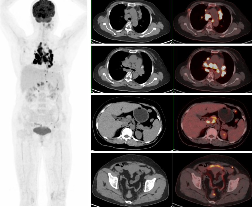
老年女性,右乳腺浸潤性小葉癌版右前哨淋巴結轉移,術后、化療后5月余,復查胸部CT發現縱隔及雙肺門多發腫大淋巴結,建議進一步檢查。既往有“高血壓”病史。為進一步明確病情,完善PET/CT檢查。
PET/CT檢查所見:

PET/CT示:雙側鎖骨上、縱隔、胸骨后、雙肺門、雙側肋骨旁、腹腔、腹膜后、盆腔及左側腹股溝見多枚代謝異常增高淋巴結,較大者約3.4×2.1cm,SUVmax約20.7。
PET/CT診斷:考慮結節病,建議病理檢查。
診療經過
患者后于本院行CT引導經皮縱隔(4R區)腫大淋巴結穿刺活檢術。病理:(縱隔淋巴結穿刺)增生的纖維組織,局灶可見呈巢的上皮樣細胞,結合免疫組化符合肉芽腫性炎;免疫組化結果:CKpan(-),CD68(+),GATA-3(-),K1-67(炎細胞+),S-100(-),S0X-10(-),Mammaglobin(-);經上級醫院病理會診確診“結節病”。給予口服激素治療。
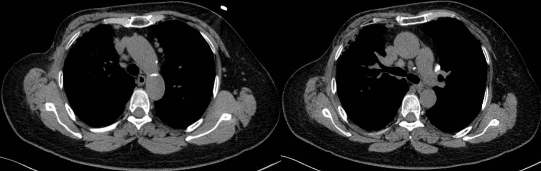
患者8個月后復查胸部CT示:縱隔、雙肺門淋巴結較前明顯縮小,較大者約1.4×1.1cm。

病例相關知識
結節病是一種原因不明、以非干酪樣壞死性肉芽腫為特征、累及全身多系統的疾病,可引起縱隔、肺門對稱性淋巴結腫大,伴有/不伴有肺部受累,常有眼睛、皮膚、神經系統、肌肉等組織器官受累。結節病臨床表現缺乏特異性,診斷主要依靠組織病理學活檢。多數結節病患者預后良好,且部分患者具有自限性。
結節病的發病機制尚不明確,可能是由于暴露于環境、職業甚至感染因素導致的細胞免疫反應。多項研究顯示結節病與惡性腫瘤之間存在一定的相關性,既有共同存在的可能性,也有相互誘發的風險。有研究認為結節病在惡性腫瘤中發生率增高,可能與腫瘤患者的免疫力降低及抗腫瘤藥物有關,化療過程中的感染也許能夠導致結節病的激活,此外腫瘤抗原可能觸發寡克隆T細胞對肉芽腫病的高反應性。
結節病在乳腺癌術后患者中的發病率約為1/2000,大多發生于乳腺癌診斷后相對較短的時間(2~4年)內。其中90%的結節病侵犯胸部,表現為縱隔或腋窩淋巴結腫大,難以與乳腺癌轉移區分,增加了疾病診斷的難度。
18F-FDG PET/CT在腫瘤患者的全身評估中具有顯著優勢,在乳腺癌術后出現縱隔和肺門腫大淋巴結時,不但能顯示淋巴結全身的分布特征,且能更早發現胸外病變及隱匿性病變,同時體現不同部位淋巴結的FDG攝取程度,判定病灶活動性,有利于結節病與乳腺癌術后復發或淋巴瘤等的鑒別診斷。由于結節病的診斷主要依靠組織病理學活檢,PET/CT可以提示適合的活檢部位,提高活檢診斷成功率。
此例患者由于乳腺癌的病史,臨床初步懷疑轉移。PET/CT顯示縱隔、肺門淋巴結腫大,且呈對稱性分布,密度均勻,邊界清晰,無明顯融合,FDG高攝取;此外可見多發腹盆部,頸部淋巴結次之,分布較散,體積及FDG攝取小于縱隔和肺門淋巴結,也不是乳腺癌術后易轉移的部位。綜上考慮符合結節病表現,最終得到病理證實,患者因此避免了不必要的抗腫瘤治療。

(錢 紅)

你所在的位置: