健康科普
臨床核醫學是利用放射性核素示蹤原理和輻射生物效應進行疾病診斷和治療的新興學科,其應用充分體現了現代醫學精準診療的發展趨勢。核醫學在疾病的早期“定位”“定性”“定量”“定期”診斷和對特定疾病的靶向治療上具有獨特且不可替代的作用。我院核醫學科精選部分病例進行分享,以期總結臨床經驗,拓寬診療思路,提高對疑難病例的診療水平。
病例
患者,男,70歲,查體發現PSA升高,總前列腺特異抗原5.060ng/ml(參考值0-4),游離前列腺抗原0.463ng/ml(參考值0-0.95),FPSA/TPSA0.09(參考值>0.25)。
診療經過
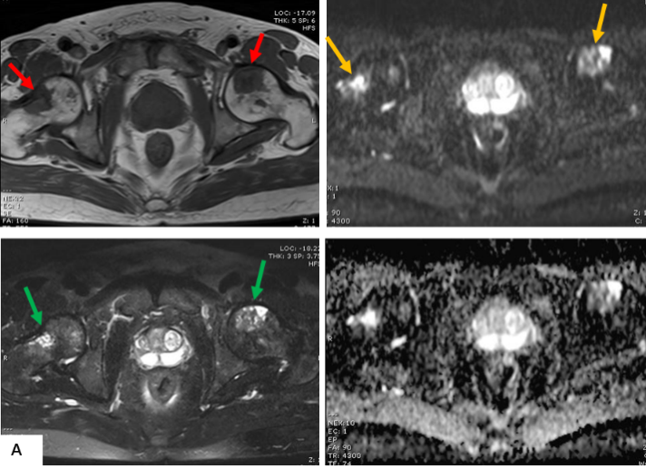
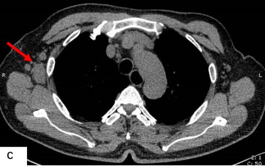
前列腺MRI示:前列腺移行帶結節狀異常信號,建議穿刺活檢;前列腺增生,PI-RADS2;雙側股骨頭信號異常,不排除轉移瘤(圖A)。為評估骨轉移情況遂行ECT全身骨顯像檢查,示:雙側肱骨頭、雙側股骨頭、右側前臂上段、右側股骨中下段代謝異常增強(圖B)。骨顯像不符合前列腺癌骨轉移典型表現,同時結合患者胸部CT(圖C)平掃示右側腋窩多發淋巴結腫大,生化檢查示乳酸脫氫酶620U/L(97-270),懷疑系血液系統腫瘤,建議患者行PET/CT檢查。PET/CT示:右側腦室內高密度灶,多發FDG代謝增高淋巴結及多發骨骼/骨髓FDG代謝增高灶,考慮淋巴瘤(圖D)。

MR示雙側股骨頭見斑片狀壓脂高信號(綠箭),T1WI信號減低(紅箭), DWI呈混雜高信號(黃箭)。

ECT全身骨顯像示雙側肱骨頭(紅箭)、雙側股骨頭(綠箭)、右側前臂上段(藍箭)、右側股骨中下段(紫箭)、左側脛骨下端(黑箭)代謝異常增強。

胸部CT平掃示右側腋窩多發腫大淋巴結(紅箭)。

PEC/CT檢查右側腦室內高密度灶(黃箭),多發FDG代謝增高淋巴結(紅箭)及多發骨骼/骨髓FDG代謝增高灶(綠箭),同機CT平掃示相應骨骼未見明顯破壞,考慮淋巴瘤。
患者后在局麻下行右胸壁下淋巴結切除活檢術,術后病理示:彌漫大B細胞淋巴瘤,生發中心來源。
診斷思路
ECT全身骨顯像檢查,是惡性腫瘤骨轉移篩查的首選,具有敏感性高和全身顯像的優勢。惡性腫瘤骨轉移通常表現為全身散在、多發的放射性濃聚影,多見于中軸骨,如脊柱、肋骨、骨盆和股骨。本例患者臨床初診為前列腺癌并多發骨轉移,為評估骨轉移情況行ECT全身骨顯像檢查。ECT表現為雙側四肢骨多發輕度放射性濃聚,核醫學醫師意識到該表現與初步診斷不符后,回顧性分析了患者胸部CT、生化檢查等資料,考慮到血液系統腫瘤的可能,建議行PET/CT檢查,PET/CT表現為符合淋巴瘤多系統受累,最終得到病理證實。
在涉及全身多器官、多系統的疾病診療中,核醫學技術具有全身性、早期性的優勢,往往能給診斷帶來新的思路,能夠有效避免很多彎路,減少不必要的有創操作痛苦,為患者節約寶貴的治療時間和費用。
(錢 紅)

你所在的位置: