健康科普
患了肝血管瘤,怎么辦?
日期:2015-01-19 瀏覽量:4109
市中心人民醫院腫瘤科 吳林霖 薛涵文
在做B超、CT等影像學檢查時,有的患者偶然發現自己長了肝血管瘤,不由憂心忡忡、不知所措。那么肝血管瘤究竟是怎么一回事,肝血管瘤需要治療嗎?我們今天就來說一說。
首先,肝血管瘤并不是惡性腫瘤,它只是人體發育過程中血管發育異常引起的瘤樣增生。也就是說,肝血管瘤為良性病變,一般不會發生惡變。肝血管瘤可以發生于任何年齡,但常在成年后出現癥狀,女性為多。肝血管瘤患者占常規體檢者中的0.5%~1%。近年來,由于健康體檢的普及,大大提高了肝海綿狀血管瘤尤其是很多無任何癥狀血管瘤的發現率。
臨床上肝海綿狀血管瘤多見于青年婦女, 有報道妊娠期或口服避孕藥者血管瘤可迅速增大而出現癥狀, 但其機制尚不明確, 肝血管瘤是否有女性激素依賴性也難肯定。肝血管瘤的癥狀無特異性, 原因也常難以明確。有報道在有癥狀的肝血管瘤中, 有54%病人的癥狀并非由血管瘤本身引起, 而系因胃腸道或膽道等疾病所致。因此, 臨床上對有癥狀的肝血管瘤應特別重視排除其它器質性病變的存在。
本病可以單發,也可以多發,左右肝葉均可發生。腫瘤大小不一,大者直徑可達20cm以上。肝血管瘤通常發展緩慢,但在某些因素的刺激下可迅速增大,如女性的懷孕期,由于激素水平的變化,可以導致血管瘤的迅速增大,從而造成危險。通常,它給患者帶來的不適包括:1、當腫瘤逐漸增大或壓迫胃、腸等相鄰組織器官時,可引起上腹部不適,出現腹脹、腹痛、惡心、呃逆等癥狀;2、位于肝包膜表面的巨大血管瘤由于外力或自行破裂時,可造成腹腔大出血而危及生命;3、肝區脹痛及患者的心理壓力。
肝血管瘤目前的診斷依然是依靠影像學檢查,B超、CT、MRI等基本上都可以診斷典型的肝血管瘤。復雜或不典型的肝血管瘤,還可以通過腫瘤標記物排查、肝功能檢查甚至DSA造影檢查以及穿刺活檢來確診。
那么問題來了,確診了肝血管瘤后,我們應該怎么辦呢?——不是所有的愛恨都有理由,不是所有的瘤子都要治療!
目前仍未發現對肝血管瘤有療效藥物,故如果血管瘤<5cm,沒必要到處求醫,定期隨診即可。大多數小的肝血管瘤沒有癥狀,長期隨防不會有明顯增大,也不會發生癌變或產生并發癥,因此無需治療。
若有明顯癥狀,如血管瘤巨大壓迫胃、腸等鄰近器官,引起上腹部不適、腹脹、噯氣、腹痛、食欲下降、惡心等癥狀,臨床上確認這些癥狀系血管瘤所致,則需要考慮治療。
少數血管瘤可能并發凝血功能障礙,如消耗凝血因子、血小板等,還有患者的血管瘤診斷不能確定,不能除外其他惡性腫瘤時,或者在短時間內血管瘤出現迅速增大的情況時,也需要咨詢醫生進行進一步診療。
那么我們可以采取什么樣的方式進行治療呢?毫無疑問,手術是最傳統也是最成熟的治療方式:包括肝臟部分切除術、血管瘤縫扎術、腹腔鏡下的瘤體切除術等。然而,有些巨大血管瘤或者多發血管瘤,不具備手術的條件,又該如何呢?
接下來,為大家介紹兩種新的治療方法——介入栓塞硬化治療和超聲引導下的局部治療:
什么是的介入治療?
肝血管瘤的介入栓塞硬化治療,即經導管肝動脈栓塞術( TAE) ,手術方法為:介入醫師采用Selding er 技術, 經股動脈穿刺,用導管或微導管在導絲指引下, 選擇或超選擇造影, 明確肝血管瘤的大小、部位、多少。然后將導管頭端插入血管瘤的供血動脈( 靶血管) , 選擇合適的栓塞材料,在監視下緩慢栓塞。根據患者的狀況, 血管瘤栓塞滿意后, 再用明膠海綿條將血管瘤的供血動脈閉塞。栓塞完畢行肝動脈造影以評定栓塞效果。巨大型的血管瘤可分期、分次栓塞。
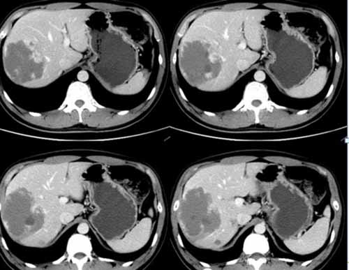
我們來看一個典型病例:

(術前右肝肝包膜下巨大血管瘤)

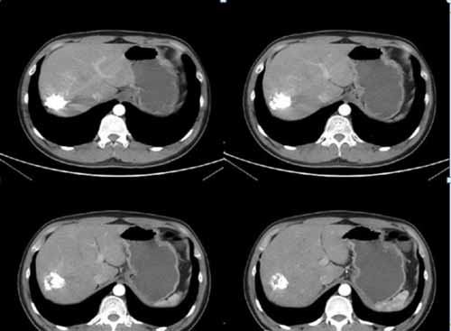
(手術過程:通過DSA下動脈造影,找到供血動脈,注入栓塞劑進行栓塞。)

(術后復查肝血管瘤固縮,栓塞劑沉積良好,無復發)
什么是超聲引導下的局部治療?
超聲引導下的局部治療也就是在彩超的實時引導下,通過經皮肝穿刺將硬化劑、抗血管生成的藥物直接注入瘤體內部,能使血管瘤組織脫水固定,組織細胞蛋白質凝固變性,局部血管血竇內皮壞死,血栓形成,導致細胞死亡和纖維化,從而達到治療目的。治療方法簡單,不需要特殊設備,痛苦小,療效明確。
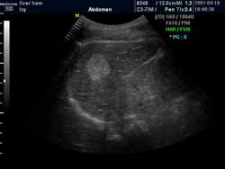
(血管瘤超聲表現可見高回聲血管團影)
(超聲穿刺針直接對瘤體進行注射治療)

薛涵文,男,超聲科主治醫師,碩士學位, 2012年研究生畢業于徐州醫學院影像醫學與核醫學專業,研究方向為超聲診斷及超聲介入。從事超聲診斷工作9年。曾發表國家級核心期刊論文4篇,參與主編論著一部。專業特長:超聲引導下穿刺活檢,超聲引導下的介入治療;胎兒產前超聲檢查;腹部及淺表小器官疑難病癥的超聲診斷。預約咨詢電話:13863258502.
吳林霖,介入放射學博士,腫瘤科醫師。山東省抗癌協會腫瘤介入專業委員會青年委員會委員、山東省老年學會腫瘤專業委員會委員。2013年復旦大學附屬中山醫院博士畢業,師從介入領域國際知名教授——顏志平教授、王建華教授,擅長消化道腫瘤、婦科腫瘤及其他常見腫瘤及血管疾病的介入治療、圍手術期處理、并發癥處理等。預約咨詢電話:15263025919.

你所在的位置: