健康科普
肺癌是我國發病率和死亡率最高的惡性腫瘤,給個人和社會帶來極大的負擔。在臨床實踐中,一般是由CT發現、診斷為肺癌的,這時候,醫生往往會推薦患者做PET/CT來進一步檢查,而患者常常會有疑問:已經做完CT了,還有必要做PET/CT嗎?那么,醫生的推薦有沒有道理,有沒有依據呢?
PET/CT是一種集功能影像與解剖影像為一體的先進診療設備,被譽為醫學影像學“皇冠上的明珠”。傳統的超聲、CT及磁共振等,屬于解剖結構成像,只有當病變引起組織結構發生較明顯變化的時候才能發現病變;而PET顯像是功能顯像,能夠在組織/器官僅僅發生功能、代謝改變而沒有發生結構改變的時候就發現病灶,從而起到早期診斷的作用。PET/CT在肺癌診療中的重大價值已經得到充分認可。
一、更精準的分期
肺癌的TNM分期(T:原發灶、N:淋巴結、M:遠處轉移)是肺癌診斷及治療方案選擇的關鍵步驟。通俗來講,就是根據腫瘤屬于早期還是晚期,來選擇手術、放療還是藥物治療。常規CT有時候無法發現小的轉移灶,同時對一些可疑病灶良惡性的鑒別也存在困難。而PET/CT則能夠很好的解決這些問題,而且是一次掃描顯示全身病變分布情況,從而達到精準分期,為治療方案選擇的科學性打下堅實基礎。既避免了因分期不足帶來的不必要的治療措施,又避免了因分期過高而失去根治性治療的機會。
例1:中年男性,CT發現右肺上葉結節,1.1cm×1.0cm,余未見異常,這時候患者初步分期應該是ⅠA期,屬于早期肺癌,可以行根治性手術。而PET/CT檢查示:肝臟、多發骨骼轉移,這時候分期直接跳到ⅣB期,屬于晚期肺癌,不適合手術,可以根據病理、基因檢測結果選擇合適的藥物治療或聯合治療方案,避免了無效的手術創傷。病理:浸潤性腺癌。

有研究表明,18F-FDG PET/CT與常規檢查相結合可以使無效開胸手術相對減少51%,不必要的手術總體減少五分之一。
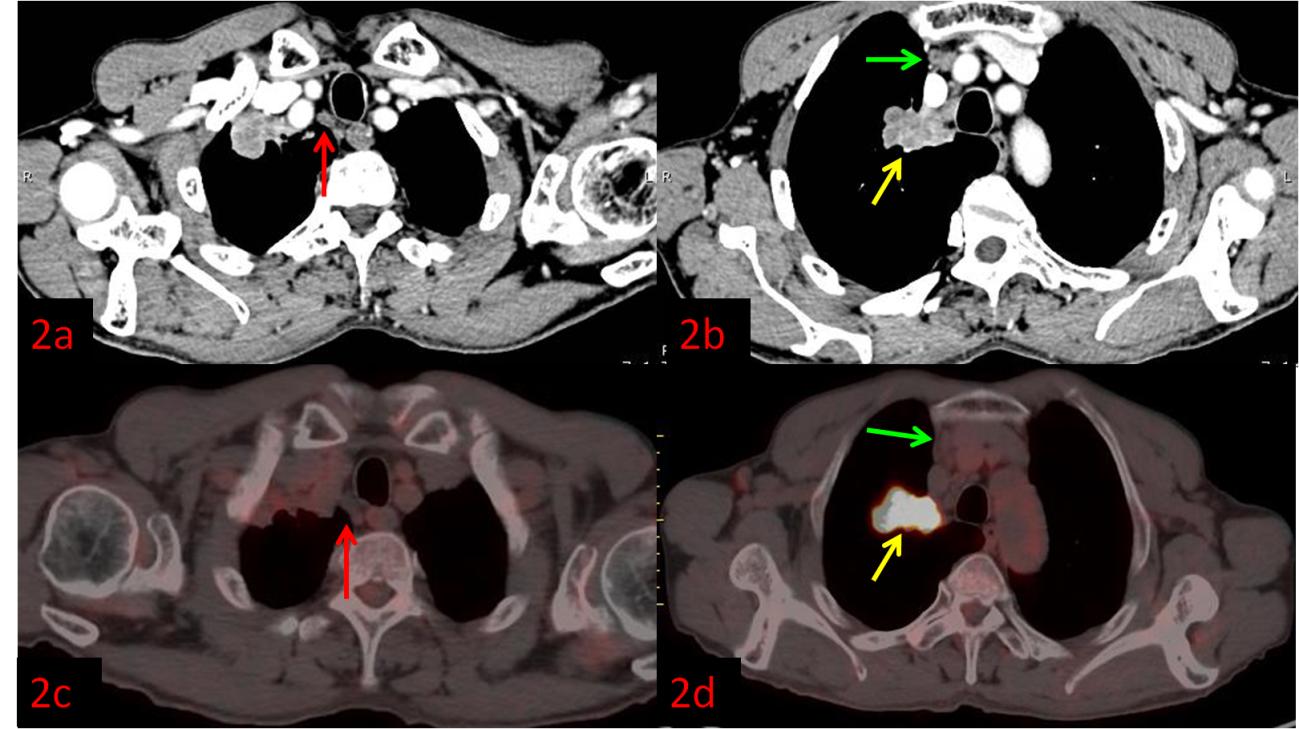
例2:老年男性,右肺上葉病變(黃箭)。強化CT示右上縱隔多發腫大淋巴結,不均勻強化,考慮轉移(圖2a紅箭、2b綠箭),初步分期為ⅢB,無法行手術根治。而PET/CT顯示淋巴結FDG代謝不高,考慮良性(圖2c紅、2d綠箭),患者分期降為ⅡB,于是進行了根治性手術。術后病理:右肺上葉鱗狀細胞癌,淋巴結均未見轉移。

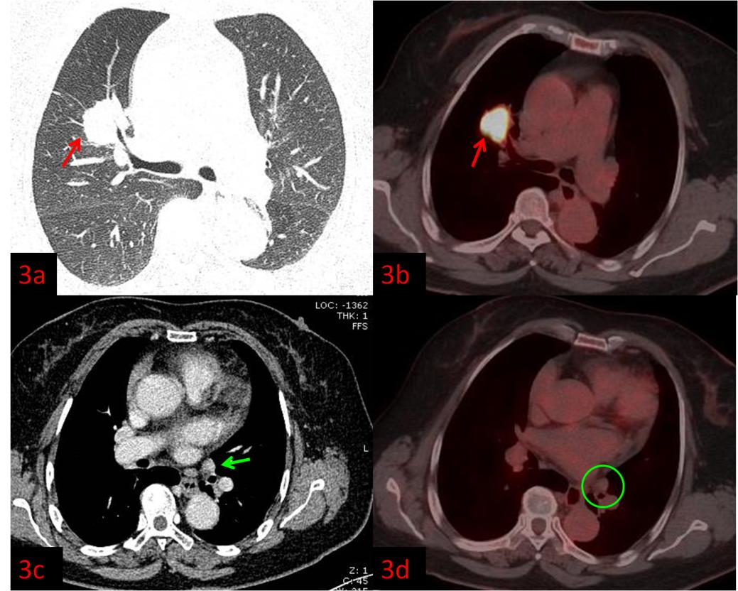
例3:老年女性,右肺上葉病變(紅箭)。強化CT示左肺門腫大淋巴結,轉移不能除外(圖3c綠箭),初步分期為ⅢB,無法行手術根治。而PET/CT顯示淋巴結FDG代謝不高,考慮良性(圖3d綠圈),患者分期降為ⅡB,于是進行了根治性手術。術后病理:右肺腺癌。

在例2、例3的案例中,PET/CT的應用,為患者爭取到根治性手術機會,明顯提高了臨床預后,患者獲益明顯。
二、放療定位及靶區勾畫
放療是肺惡性腫瘤重要的局部治療手段,大約有70%的肺癌患者在治療過程中需要使用放射治療。放療的目標是腫瘤控制最大化和治療毒性最小化。而精準的腫瘤靶區勾畫是實現放射治療目標的重要保證。PET/CT在區分肺癌和阻塞性肺不張方面明顯優于CT,對于局部疾病分期、經皮活檢、放射治療計劃和治療反應評估均非常重要。以PET/CT融合圖像勾畫靶區可顯著提高肺癌靶區勾畫的一致性,進而減少放射性損傷。
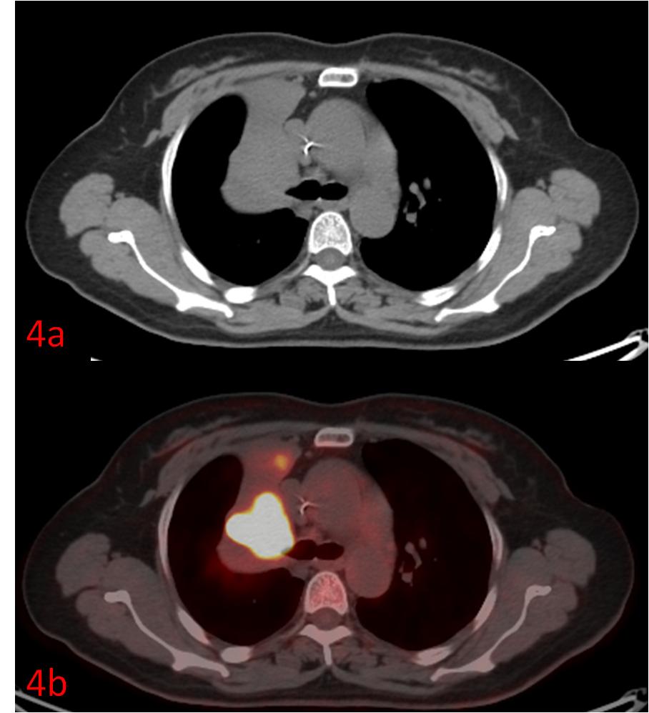
例4:中年女性,右肺上葉小細胞癌伴右肺上葉不張、阻塞性炎癥,常規CT無法區分腫瘤和不張的肺組織(圖4a),PET/CT清晰展示了腫瘤的邊界(圖4b)。

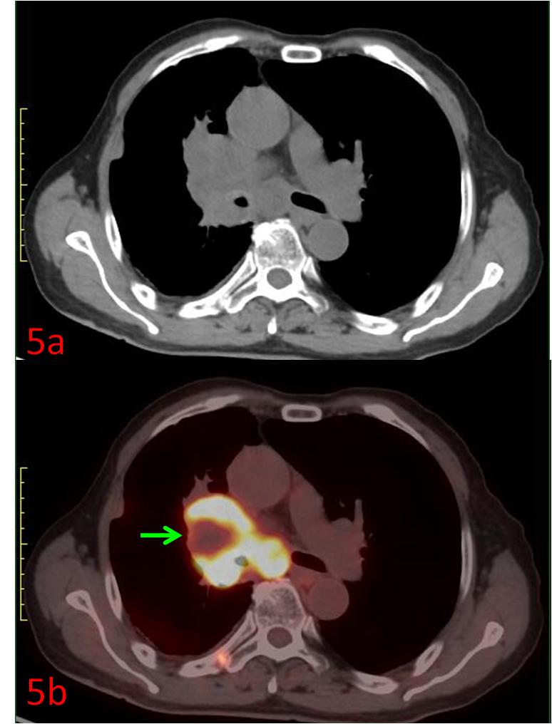
例5:中年女性,右肺上葉小細胞癌,CT示右肺門腫塊(圖5a),PET/CT展示了腫瘤內部代謝的不均質,中心區域存在部分壞死組織(圖5b綠箭),為放療計劃制定提供更準確信息。

三、檢測第二原發性惡性腫瘤
國際頂級腫瘤期刊《美國醫學會雜志腫瘤學(JAMA Oncology)》的數據顯示,65歲以上的老年癌癥患者二次患癌的概率為25.2% 。多原發癌好發于消化系統、呼吸系統和泌尿系統。有研究發現FDG PET/CT在3%的非小細胞肺癌患者中發現了第二原發性惡性腫瘤或癌前病變,從而改變了27%的患者的治療方案。

原發肺腺癌合并賁門腺癌

原發肺鱗癌合并直腸腺癌
四、小結
《中華醫學會肺癌臨床診療指南(2024版)》及美國國立綜合癌癥網絡(NCCN 2024版)指南中指出PET/CT是診斷肺癌、分期與再分期、手術評估、放療靶區勾畫、療效和預后評估的最佳方法之一,推薦肺癌患者均應進行PET/CT檢查。規范化診療有助于提高患者預后、改善患者生活質量、延長生存期。
(錢 紅 關祥禎)

你所在的位置: