健康科普

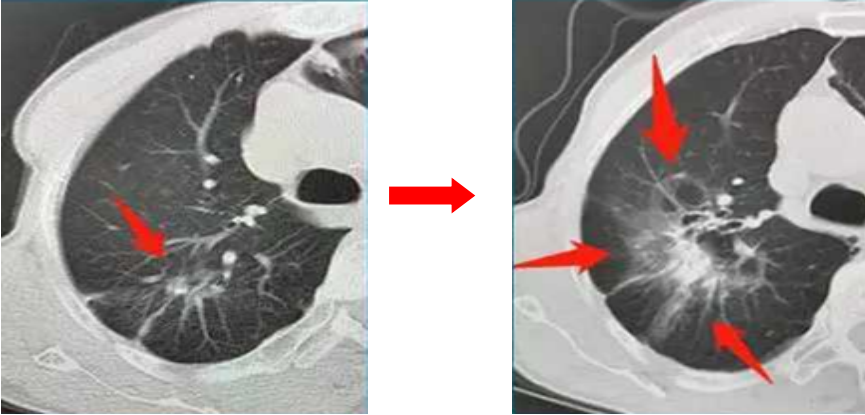
55歲的張先生兩年前查體發現了肺結節,認為自己既不抽煙,也不熬夜、酗酒,更沒有什么癥狀,應該沒什么事。醫生建議他每3個月復查一次CT,他置之不理,認為自己好端端的,干嘛還浪費那錢。結果兩年后出現咳嗽胸痛才想起來就診,發現原來5mm的肺結節已經長大了(見下圖),還出現了轉移,診斷為晚期肺癌,悔之晚矣。

一、如何確定自己的肺結節是不是高危肺結節,是否有惡變傾向?
1.結節的形態變化:肺結節持續存在且逐漸增大、密度逐漸增高,惡變可能性大,短期內結節大小急劇變化的多為良性。若結節8mm~15mm,有分葉、毛刺、胸膜牽拉、含氣細支氣管征和小泡征、偏心厚壁空洞這些CT惡性征象,大概率是惡性的。

2.結節的密度:純磨玻璃肺結節惡性概率相對較低,若伴有實性成分且實性成分逐漸增多,惡變可能增大。混合性磨玻璃結節多數為原位癌或早期肺癌。

3.結節與血管的關系:如果肺結節內部有血管匯入,周邊有血管伴行,且血管扭曲、增粗、變細或被中斷,往往提示惡性。

以上影像學方法可大致判斷肺結節的良惡性,但只有經皮穿刺活檢病理是診斷肺結節良惡性的金標準。如果大家對肺結節性質仍把握不準確,可就診我院肺結節門診,有腫瘤科、胸外科、呼吸科、影像科等組成的多學科診療團隊,為大家答疑解惑。
二、得了高危肺結節,該怎么辦?
高危肺結節如果愿意手術切除,可手術治療。在不耐受手術或拒絕手術的情況下,消融是一個比較好的選擇。CT引導下穿刺活檢同步微波消融,為肺結節、肺癌患者帶來了更多的治療選擇,5-10分鐘就把肺結節完全“燒死”,相比傳統手術切除治療,手術時間更短、創傷性更小、費用更低、恢復更快、診斷和治療同步,實現超微創治療,更好地保護了患者的肺功能。
我院腫瘤科一病區,自2016年8月至今共完成各類肺結節穿刺活檢同步微波消融術數百例,積累了豐富的經驗和口碑。2020年被授予“中國肺癌防治聯盟滕州市中心人民醫院肺結節診療分中心”。科主任張開賢致力于腫瘤微創治療的相關研究,作為主講教師參與帶教第1-4期全國3D打印模板引導精準穿刺培訓班,并于2017年5月在滕州主辦第四期全國3D打印模板引導精準穿刺培訓班,來自全國各地的48位學員參加培訓。張開賢主任多次受邀在全國大會上就有關肺結節穿刺活檢同步微波消融的治療作特邀報告,先后應邀到省內外多家三甲醫院推廣該項技術。
腫瘤科一病區每周一、三、六設肺結節門診,歡迎廣大肺結節患者前來咨詢就診。

圖片來源于網絡,如有侵權,即刻刪除。
(楊宛瑩 胡文娟)

你所在的位置: