健康科普
為啥醫生非得讓我做核磁,而不是更便宜的CT呢?就是想賺我的錢,以前的醫生就不會……如果你有這些埋怨或疑問,一定要仔細看這篇文章!
首先你要知道,X光、CT、核磁三者最大的不同之處在于——成像原理,這決定了它們適合檢查什么疾病。
X光:主要看“密度” 擅長骨折、肺臟病變
X線是一種能量很大的電磁波,對人體組織結構有著很強的穿透力。但人體各組織結構的密度不同,X線穿透時被吸收的量不同,就形成了黑白灰分明、層次顯著的“片子”。

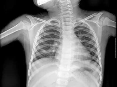
▲X射線成像圖
骨骼、鈣化灶、體內液體等(聽起來質地較厚重的組織),吸收X光較多,因此形成白色影像,也就是傳說中的“高密度影”,上圖的上臂、肋骨就是如此。呼吸道、胃腸道、脂肪組織(聽起來質地較疏松),吸收X光較少,在片子上呈現黑色影像,即“低密度影”,圖中含氣體較多的肺臟是代表。再就是密度居中的實質器官、肌肉、結締組織,比如心臟,在片子上呈現的影像介于黑白兩色之間。X光片“涇渭分明”的特點幫醫生辨別身體的不同病變。骨折、肋骨病變,密度高的骨骼白色影像哪里出問題一目了然,比如液氣胸等肺部及氣道病變,肺臟的黑色影像中就會混入明亮的白色。
不過,X光檢查也有弱點,那就是缺乏特異性,比如照完X光發現肺部有陰影,可這個陰影到底是啥原因導致的呢?是肺結核?是普通炎癥?還是腫瘤?這時候,就該先讓CT出場了。
CT:分層拍攝的X光 擅長神經系統、心臟大血管疾病
無論價格還是名稱,CT(即計算機斷層掃描)似乎比X光高端不少,但實際上,拍CT片用的也是X射線!兩者不同的是, 拍X光:是坐是站、手臂外展還是抱頭…擺什么pose就拍什么照片,影像相當于普通照片。CT呢,則是將被拍攝者橫向“切分”成了統一厚度、統一間距的“片”,經過放射線穿透,留下一幅幅相似又不同的影像。這些斷層影像通過計算機進行三維重建,醫生讀片時就能立體把握患者情況了。

▲CT掃描圖
CT的三維圖片就決定了它在分辨能力上的優勢,如采用CT檢查骨組織疾病可以捕捉到更清晰、更精確的“高密度影”。除此之外,CT在診斷中樞神經系統(如顱內腫瘤、血腫、腦梗塞、腦出血、椎管內腫瘤等)、心臟大血管病變也有很高的參考價值。檢查效果時更佳了,但CT的致命缺點是輻射,拍個CT接受的輻射量可比普通X光要大!因此孕媽不能做CT檢查。而論檢查能力,CT對于軟組織的分辨率還不算很高,甚至診斷諸如鼻咽癌早期等疾病,CT還不如輻射劑量小、價格低廉的X光片靠譜。于是,更高大上的核磁技術問世了……
核磁共振:沒有輻射 擅長排查軟組織疾病
一張床,患者躺上去,核磁共振(MRI)和CT的外觀看上去很像,但它倆可不像X光和CT那樣有“血緣關系”,比如拍CT要去放射科,若做核磁就得去“核醫學科”了。

▲核磁共振檢查現場圖
核磁共振儀器其實是一塊大磁鐵,啟動后可以對人體施加某特定頻率的射頻脈沖,使人體中的氫質子受到激勵、發生磁共振現象,進而產生某種能夠生成圖像的信號。
這個過程中,沒有大家擔心的電離輻射!核磁共振的長項恰恰就是X光和CT的短板——清晰顯示軟組織疾病,對于膀胱、直腸、子宮、陰道、關節肌肉的檢查優于CT。
不過,核磁共振檢查在某些情況下(比如胃腸疾病)仍然需要有內鏡檢查等手段的配合才能幫助確診疾病。 而且核磁不是誰想做都可以,檢查前應滿足的條條框框非常多!危重病人不可以;幽閉恐懼癥患者不可以;懷孕三個月內的孕媽不可以;帶有心臟起搏器、動脈瘤夾、人工金屬心臟瓣膜絕對不可以等。
總之,同屬影像學檢查,X光、CT、核磁各有優勢,沒有誰比誰好之說,只有待查的疾病更適合哪個。
今天的醫學成像技術日益發達,核磁更精準診斷疾病,但像X光這樣廉價快捷的檢查仍然有著不可取代的地位。

你所在的位置: