手術科室
Operating Department
滕州市中心人民醫院神經外二科作為魯西南地區區域性神經外科中心,是棗莊市重點學科,國家衛健委腦出血外科診療基地。現有開放床位53張。現有醫師14人,護士12人,其中有棗莊市學科帶頭人1名。副主任醫師以上人員3人,主治醫師9人,博士1人,碩士研究生12人。
學科帶頭人
續繼軍,中共黨員,主任醫師,腦科中心副主任,神經外科主任兼神經外二科主任。棗莊市有突出貢獻的中青年專家。兼任山東省醫師協會神經外科分會委員、山東省疼痛醫學會神經外科專業委員會常務委員、棗莊醫學會神經外科分會副主任委員。1993年畢業于青島醫學院,1999年及2007年分別在山東省立醫院及上海長海醫院進修。
擅長顱內與椎管內腫瘤的顯微切除術,顱內動脈瘤夾閉術、三叉神經痛及面肌痙攣的微血管減壓術(MVD)以及顱頸交界區畸形的手術治療,尤其是小腦扁桃體下疝并顱頸交界區畸形的減壓+內固定手術治療。
神經外二科位于內科大樓六層,住院環境優雅,全病區實行整體優質護理。科室先后與北京天壇醫院、北京三博腦科醫院、上海長海醫院、上海長征醫院、復旦大學中山醫院、齊魯醫院、山東省立醫院建立了業務協作關系,并聘請上述醫院專家為我科的客座教授。
神經外二科目前開展的內容包括:
(一)顱腦腫瘤的規范化診治:
開展顱內各種良惡性腫瘤的顯微手術,積極踐行“微創、精準、個體化”治療理念。通過改進微創入路、應用新設備新技術(神經內鏡、神經電生理監測等),顯著提高腫瘤切除率;設立多學科綜合治療協作組(MDT),為垂體瘤、膠質瘤患者提供個體化、綜合性診療服務。
(二)腦血管病的綜合性診治:
應用3D-SLICER、神經外科導航機器人、多模態等綜合方式開展神經系統血管疾病的顯微外科及微創介入治療。涵蓋顱內動脈瘤、腦動靜脈畸形、煙霧病(Moyamoya病)、高血壓腦出血、腦梗塞、頸動脈狹窄等出血性、缺血性神經血管疾病。率先在魯西南地區開展并推廣神經內鏡治療高血壓腦出血,榮獲全國首批腦出血外科診療基地。在復雜動脈瘤開顱夾閉、頸動脈內膜剝脫、顳淺動脈-大腦中動脈吻合等方面技術成熟。
(三)功能神經外科:
為我科的特色亞專科,結合神經導航、機器人等設備,行球囊壓迫治療三叉神經痛,大大提高了療效和安全性;利用小切口微創技術常規開展微血管減壓(MVD)治療面肌痙攣、三叉神經痛、舌咽神經痛,開創了腦功能性疾病精準、微創的治療模式,數量與質量均為省內領先。
(四)急癥創傷綜合救治:
設立院前急救-綠色通道-規范救治-神經重癥監護-功能康復全流程綜合救治體系,大大提高了重癥顱腦損傷患者的存活率,降低了致殘率,技術與治療效果居于省內領先水平。
(五)脊柱脊髓神經外科:
科室常規開展髓內、髓外(包括椎管內外)腫瘤的手術治療以及腫瘤切除后的脊柱內固定手術,針對脊柱脊髓先天性疾病(顱頸交界區畸形、Chiari畸形、脊髓空洞、脊髓栓系綜合征等)制定個體化診療方案,取得了良好治療效果。
科室主要診療范圍
1. 顱腦腫瘤的顯微外科治療,包括神經膠質瘤、腦膜瘤、腦轉移瘤、鞍區腫瘤、神經鞘瘤、膽脂瘤等。
2.神經系統血管疾病的微創及介入治療,涵蓋顱內動脈瘤、腦動靜脈畸形、煙霧病(Moyamoya病)、海綿狀血管瘤、高血壓腦出血、頸動脈及椎-基底動脈狹窄、各種脊髓血管畸形等出血性、缺血性神經血管疾病。
3.顱神經疾病:三叉神經痛、面肌痙攣和舌咽神經痛等的微血管減壓(MVD)手術;經皮三叉神經半月節球囊壓迫治療三叉神經痛。
4.顱腦創傷的綜合治療,包括:各類顱內血腫清除術、標準大骨瓣減壓、顱內壓監測、視神經減壓術、慢性硬膜下血腫鉆孔引流術、顱骨缺損整復修補術(三維塑型鈦網、PEEK)、腦室腹腔分流術等。
5.脊柱脊髓疾病,包括:髓內、髓外腫瘤的手術治療,如室管膜(下)瘤、椎管內外啞鈴型神經鞘瘤、星形細胞瘤、血管母細胞瘤、畸胎瘤、脂肪瘤等,以及腫瘤切除后的脊柱內固定手術;脊柱脊髓先天性疾病的手術治療,如顱頸交界區畸形、Chiari畸形、脊髓空洞、脊柱裂、脊膜脊髓膨出、脊髓栓系綜合征、骶管囊腫等。
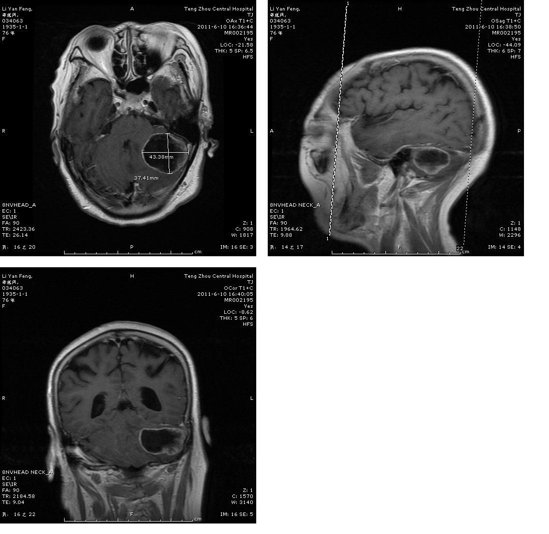
【手術圖片】

動脈瘤夾閉術前 動脈瘤夾閉術后

垂體瘤術前 垂體瘤術后

轉移瘤切除術前

轉移瘤切除術后
三叉神經微血管減壓手術切口

術中顯微鏡鏡下神經顯露

椎管內腫瘤 椎管內腫瘤術中

你所在的位置: