非手術科室
Non operating department
心血管內科二病區
日期:2025-05-07 14:47:42 瀏覽量:14412
科室介紹
滕州市中心人民醫院心血管內科二病區是棗莊市重點學科,現有病床55張。每年的心臟介入手術超過1000余臺次。長期與中國醫學科學院阜外心血管病醫院、山東大學齊魯醫院、山東省立醫院、山東省千佛山醫院等合作。
專科特色
心內二科診療技術不斷提高,在心血管危重癥、疑難病例診治、急救方面積累了豐富的經驗。介入心臟病學為重點主攻方向之一,已全面開展國內現有的心臟介入手術方法,介入診斷與治療已達到國內先進水平,確立了在魯南地區心血管領域的核心地位。
主要的介入診療項目
冠心病介入診療技術:包括冠狀動脈造影術、經皮冠狀動脈腔內成形及支架術(PCI)、經橈動脈冠狀動脈介入治療(TRI)、血流儲備分數(FFR)測定等。介入團隊24小時候命,能勝任急診PCI。對慢性閉塞性病變(CTO)的治療亦達到國內先進水平。
心律失常射頻消融術 :包括陣發性室上性心動過速、室性心動過速、心房撲動、心房顫動的射頻消融治療。心臟先天性心臟病的介入治療:包括先天性心臟病房間隔缺損封堵術、室間隔缺損封堵術等。

科室榮譽

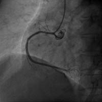
右冠狀動脈閉塞 介入術后右冠開通

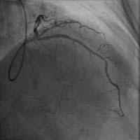
前降支近端嚴重狹窄 介入術后狹窄消失
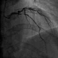
介入手術治療嚴重冠心病

Carto三維定向標測系統指導下房顫射頻消融術

心臟起搏器植入術

房間隔缺損封堵術

和諧的醫患關系


愛心講堂

你所在的位置: