醫患之橋
視病人如親人 弘揚醫德醫風——神經重癥監護室收到患者贈送錦旗
日期:2022-05-14 瀏覽量:1659
5月11日,一面寫有“視病人如親人,弘揚醫德醫風”的錦旗送到我院神經重癥監護室。患兒及家屬被神經重癥監護室醫師精湛的醫術及全體醫護人員的熱情服務所感動,特送錦旗一面,以表達對全體醫護人員的感激之情。

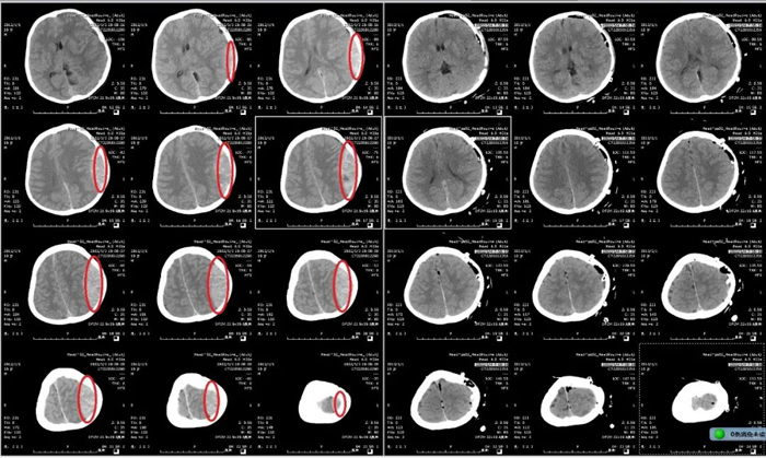
患兒,男,9歲,因“摔傷頭部后神志喪失1小時余”由120送到我院急診搶救室就診。入院時患兒昏迷、病危狀態,不能言語,一側瞳孔散大固定,伴一側肢體偏癱。急診顱腦CT檢查提示:左側巨大顱內血腫,中線移位。急診神經外科當值醫師及上級醫師綜合評估病情后,決定立即啟動急診綠色通道。
時間就是生命,對于神經急危重癥患者,每一秒鐘對于整個疾病的搶救過程都彌足珍貴。呂守華主任接到電話后第一時間來到醫院,臨場組織搶救,指導手術。手術者蓋大偉主治醫師以精湛的技術用時100分鐘順利完成手術,術后復查示顱內血腫清除滿意。

顱腦CT術前、術后對比
術后,患兒轉入神經重癥監護室對癥治療、專業護理。因患兒年齡小、心理恐懼,科室護理團隊像媽媽一樣無微不至地照顧、安撫、鼓勵患兒。經過醫護團隊悉心的照料,患兒次日便順利脫掉呼吸機、拔除氣管插管。轉入普通病房前,患兒意識清醒,言語對答清楚,肢體活動正常。患兒在家屬的陪同下,親手將錦旗送到李肖穎護士長手中。(神經重癥監護室) ?

你所在的位置: