醫院新聞
近日,消化內二科為一名急性梗阻化膿性膽管炎合并感染性休克患者進行急診ERCP(十二指腸鏡逆行性胰膽管造影術)手術治療,成功解除膽道梗阻,挽救了患者寶貴的生命,并讓患者在除夕夜和家人團聚,開心過上了春節。
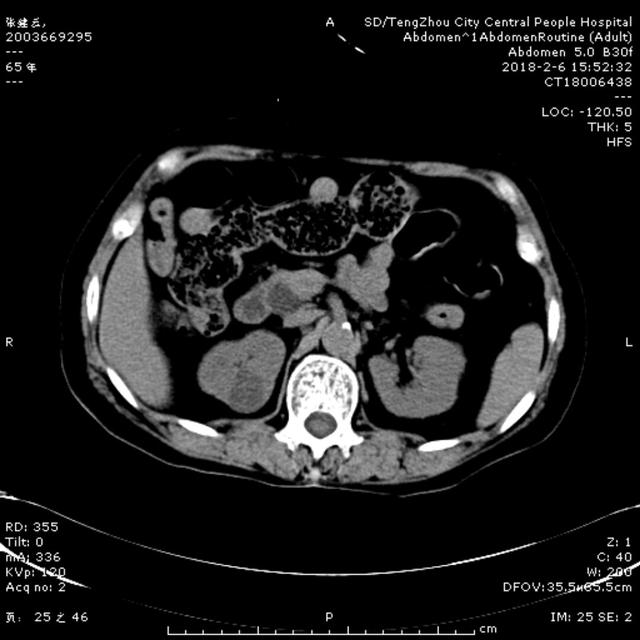
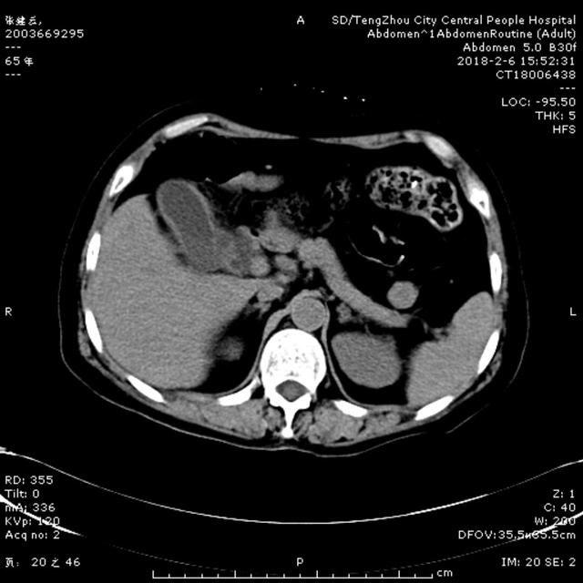
2月6日15:00,一65歲女性患者,因腹痛5天,伴寒戰,發熱,惡心,嘔吐,在當地診所治療,效果差,以“腹痛待查”收住消化內二科。入院查體:體溫37.1℃ 血壓140/90mmHg,急性病容,鞏膜輕度黃染,心肺未及異常,腹部平坦,右上腹壓痛伴反跳痛,肝區叩擊痛陽性,雙下肢無水腫。入院后給予抗炎、補液處理。急查肝功示谷丙轉氨酶561U/L, 谷草轉氨酶798U/L, 總膽紅素64.9umol/L ,直接膽紅素58.9umol/L,血常規示白細胞5.44X10^9/L, 中性粒細胞4.69X10^9/L,凝血常規示正常,行腹部CT可見膽囊壁增厚,膽總管擴張,考慮膽系感染、 膽總管結石可能性大。
患者于入院當日20:00突然病情變化,寒戰,高熱,體溫達40℃。值班醫師李兵腦海里立即給自己下了一連串的指令:“吸氧,降溫 、心電監護、緊急補液、抗感染、支持治療,立即請示上級醫生會診!”李醫生一邊緊張有序地安排著搶救工作,一邊請示柴同海主任醫師、科主任蓋偉主治醫師。
早春二月的夜晚,天氣還非常寒冷。各位專家接到會診后,冒著嚴寒第一時間緊急趕到醫院,認真詢問了患者病情,經過會診,考慮患者為急性梗阻性化膿性膽管炎、 膽總管結石可能性大,此癥屬于急危重癥,病死率高,如得不到及時有效救治會繼發感染性休克、全身臟器功能衰竭而死亡,必須盡快解除膽道梗阻,否則隨時會有生命危險。
死神正在一步一步逼近,醫生們必須爭分奪秒,確定好治療方案!該患者有行急診ERCP手術指征,須立即進行手術!田宗彪醫師反復與家屬溝通病情及手術事宜,家屬終于同意并簽署手術知情同意書。蓋偉主任立即聯系介入室盧慶林技師,朱廣福護師做好急癥手術準備工作。
患者于22:00分進入介入室,術前測血壓示60/20mmHg,患者意識淡漠,手腳濕冷,再次與家屬溝通病情,患者目前處于休克狀態,需糾正低血壓。立即聯系ICU醫師協診,繼續給予補液,擴容,同時給予多巴胺升壓,患者血壓回升至90/60mmHg,患者精神較前好轉,再次與家屬溝通病情,患者目前病情極危重,目前有行ERCP條件,但手術風險極大,家屬表示理解并同意行ERCP治療。
22:20,手術正式開始。蓋主任通過嫻熟謹慎的操作將內鏡插入至十二指腸降段,在逐步探查的過程中發現了威脅患者的罪魁禍首,堵塞在十二指腸乳頭開口的嵌頓結石。插管、切開、取石,抽出大量膿性膽汁。 22點50分,嵌頓的結石終于被順利取了出來!歷時30分鐘,通過大家通力協作,用精湛的醫術將生命垂危的患者從死神手中搶了回來!此時,大家懸著的心終于落地,大家輕輕舒了一口氣,臉上露出了欣慰的笑容。
23:50分護送患者回病房,但血壓仍不能維持,考慮為急性梗阻性化膿性膽管炎繼發感染性休克所致,于2月7日1:30轉入ICU科抗休克治療。經治療后,患者癥狀明顯緩解,未再發熱,腹痛緩解,于2月11日轉出ICU ,入消化二科繼續觀察治療。復查肝功 血常規正常后, 2月15日辦理出院手續。這一天正好是大年除夕,能回家和家人團聚,開開心心過春節,患者和家屬別提有多高興了!患者及家屬對科室醫護人員表示深深的感謝!看到患者臉上開心和感激的笑容,醫護人員從心里感到幸福。
蓋主任介紹說,“急性梗阻性化膿性膽管炎是消化內科急危重癥之一,死亡率高,臨床表現為腹痛,黃疸,高熱,部分患者可出現昏迷,早期識別及時的干預是治療成功的關鍵因素。ERCP鼻膽管引流術是其中最有效的武器,消化內科近年成功救治此類患者十余例,本例患者入院后起病急驟,出現感染性休克,在介入室、ICU科的合力協作下,患者轉危為安,為以后處理類似患者提供了寶貴經驗。” (王芳 田宗彪)

你所在的位置: